脳血管障害
CEREBROVASCULAR DISEASE失われた身体機能の回復を目指す
脳血管障害(脳梗塞や脳出血など)を一度引き起こすと、その先の脳細胞に血液や栄養が届かず死んでしまうことで、後遺症が残ることが多くあります。そして、死んでしまった脳細胞は元に戻せないため、後遺症の根本的な治療はできないと考えられてきました。しかし、体内にある「幹細胞」の能力を最大限に使った再生医療が、脳血管障害で失われた身体機能の回復を目指せる新たな治療法として注目されています。
脳血管障害とは
脳血管障害(脳卒中)とは、脳の血管が破れたりつまったりして、その先の脳細胞に栄養が届かなくなり、脳の働きに障害が起きる疾患です。
脳血管障害には、「脳梗塞・脳出血・くも膜下出血」の3つのタイプがあります。長期間の高血圧により動脈硬化が進行することによって、脳の血管がつまると「脳梗塞」が、脳の血管が破れると「脳出血」や「くも膜下出血」が起きます。
横スクロール ≫
| 脳梗塞 | 脳出血 | くも膜下出血 | |
|---|---|---|---|
| 原因 | 脳の血管が詰まる | 脳の血管が破れる | 脳の血管が破れる |
| 症状 | 半身まひや言語障害、認知機能の低下 | 半身まひや言語障害、認知機能の低下 | 激しい頭痛や意識障害 |
| 前触れ | あり | あり | なし |
日本人の死亡原因の第4位であり、一命をとりとめてもその後寝たきりになる可能性の高い、危険な疾患と言えます。
出典:「令和2年(2020)人口動態統計月報年計(概数)の概況」(厚生労働省ホームページ)さらに、脳血管障害は再発率が非常に高くなっています。特に脳梗塞は再発しやすく、発症後1年で10%、5年で35%、10年で50%とも言われており、再発するたびに重症化します。一度発症した場合、遺伝の問題や生活習慣病で脳血管障害が起こりやすい体質になっている可能性があるため、再発を防ぐためにはその体質を根本的に改善する必要があります。
脳血管障害に再生医療を取り入れると?
本治療を受けることで、傷ついた血管の修復や血管の新生を促す効果があります。それによって、血流を回復させたり、炎症を抑えたりすることができ、脳血管障害の後遺症を改善することが期待されます。骨髄由来幹細胞での臨床試験では、脳卒中発症後の生存率の向上や、後遺症の改善効果が報告されています。
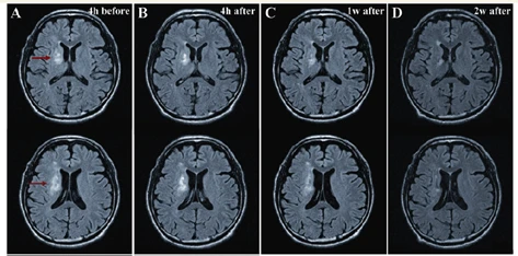
骨髄由来幹細胞での治療後にMRIにより脳の損傷部を観察した写真です。治療後、時間の経過とともに病変部(白い部分)が縮小していることがわかります。
(Honmou O et al., Brain. 2011 Jun;134(Pt 6):1790-807.)
再生医療の期待できる効果
身体機能を回復する、脳細胞の再生
脳血管の損傷によって一度壊れた脳細胞を、再生および修復します。それにより、麻痺や呂律困難などの後遺症の回復、痛みや痺れの緩和が期待できます。
リハビリ効果をより高める、脳神経の再生
損傷した脳神経を再生および修復します。それにより、身体機能の回復が期待できるため、再生医療と並行してリハビリを行うことで、リハビリ効果をより高めることが可能です。発症後数年経っている場合でも、効果を見込めます。
再発を予防する、脳血管の修復
今後、脳出血や脳梗塞の原因になる可能性のある傷ついた血管を、予防的に修復します。それにより、脳血管障害を起こしやすい体質自体の改善につながり、再発をおさえることができます。
他の治療法との比較
幹細胞治療は、他の治療法と比べると費用が高いのが実情です。しかし、自身の細胞を使うため安全性は高く、他の治療法では難しい根本的な回復を期待できることが最大の魅力です。
横スクロール ≫
| 治療法 | 利点 | 欠点 |
|---|---|---|
| 本治療法 (幹細胞治療) |
|
|
| 薬物療法 |
|
|
医療行為に伴うリスクはゼロにはなりませんが、これまでの骨髄由来幹細胞治療の臨床試験では、後遺症が残る可能性のあるような重大な副作用、健康被害は報告されていません。
リボーンクリニックの再生医療の特長
FEATURE
1
自己脂肪由来の幹細胞を使うから、体の負担が少ない
当院で行う再生医療は「自己脂肪由来幹細胞治療」です。自己脂肪由来幹細胞治療は、まず患者様の身体から取り出した幹細胞を生体外で培養し、一定の量まで増やしてから患者様本人の体に戻します。戻す細胞は自分自身の細胞なので拒絶反応やアレルギーが起きにくく、安全性の高い技術です。
今最も注目の医療であり、国内外の数々の医療研究機関によって効果やメカニズムが研究されています。

FEATURE
2
国内トップクラスのCPC(細胞培養加工室)と連携
自己脂肪由来幹細胞治療を行うには、培養技術がとても重要です。ポイントは2つあります。
-
① 幹細胞の生存率
培養した幹細胞は生きているものを投与しないと意味がありません。生存率が高いほど、身体に定着しやすくなります。
-
② 幹細胞の大きさ選定
ただ幹細胞を増やすだけではなく、血管の中をスムーズに動ける大きさのものを選定する必要があります。
当院のある九州再生医療センターには、この①②を満たす国内でもトップクラスの技術力を持つCPC(細胞加工施設)も入っています。高い技術を持つCPCと連携を取ることによって、高水準の幹細胞治療を提供することが出来ます。

FEATURE
3
治療後のリハビリプログラムも提供
当院のある九州再生医療センターには、リハビリ施設も入っています。痛みや損傷の源に働きかける幹細胞治療に「リハビリ」をプラスすることで、一度は衰えた筋力をトレーニングし、回復を目指します。
クリニックとリハビリ施設が同センター内にあるため連携が取りやすく、治療から一貫した流れで、患者様に合わせたより効果の高いプログラムをご提案します。筋力トレーニングやストレッチによる柔軟運動のほか、「徒手療法」を取り入れたリハビリで日常生活で実用的な動きを「体と脳に学習させる」プログラムなどがあります。

ご相談から治療の流れ
-
STEP1
電話またはメールで無料相談

-
STEP2
専門医による診察

-
STEP3
脂肪採取
15分ほど
-
STEP4
幹細胞培養
4〜6週間ほど
-
STEP5
幹細胞移植
点滴で投与